Диагностические подходы при воронкообразной деформации грудной клетки: методы и особенности

При диагностике воронкообразной деформации важно сразу обратить внимание на признаки, которые могут указывать на развитие заболевания. Симптомы, такие как боль в области грудной клетки, нарушения симметрии, затрудненное дыхание или неправильное расположение ребер, могут свидетельствовать о серьезных изменениях. При подозрении на подобную деформацию необходимо незамедлительно обратиться к специалисту, который проведет тщательное обследование и оценит состояние пациента.

Медицинские исследования, включая рентгенографию и компьютерную томографию, позволяют точно определить степень искривления и размеры хрящей и реберных позвонков. На основе этих данных специалисты могут оценить не только текущее состояние, но и прогнозировать развитие заболевания. Существует несколько подходов для диагностики, включая оценку степени деформации с помощью радиологического обследования, что помогает выделить категории пациентов, которым может быть показана операция.

Методы лучевого обследования, в частности рентгенография и МРТ, являются стандартными для диагностики. Однако важно отметить, что не всегда требуется немедленное хирургическое вмешательство. В некоторых случаях, например, при легкой степени деформации, можно ограничиться профилактическими мерами и наблюдением. Тем не менее, для более точной оценки и принятия решения об операции специалисты часто обращаются к расширенным диагностическим процедурам.

Существуют различные классификации степени деформации, которые включают в себя как визуальные, так и количественные параметры. Важно правильно интерпретировать полученные данные, поскольку от этого зависит выбор последующих лечебных мероприятий. В клиниках, ориентированных на лечение таких заболеваний, всегда проводятся дополнительные обследования, направленные на уточнение диагноза и оптимизацию терапии.

Методы рентгенографического исследования для диагностики воронкообразной деформации

Методы рентгенографического исследования для диагностики воронкообразной деформации

Основной задачей радиологического обследования является точная классификация степени деформации. Важно, чтобы рентгеновские снимки охватывали все зоны реберных позвонков, что дает возможность для комплексной оценки состояния. В зависимости от степени изменения, лечение может варьироваться от профилактических мер до необходимости хирургического вмешательства. При этом важно вовремя обратиться за консультацией к врачу, чтобы избежать более серьезных осложнений.

Рентгенография позволяет не только увидеть наличие искривлений, но и установить их степень и форму. Это важно, поскольку различные виды деформаций требуют различного подхода в лечении. Например, в случае малых изменений может быть достаточно наблюдения и укрепляющей терапии, а в более сложных ситуациях, таких как глубокие воронкообразные пороки, может потребоваться операция.

Кроме того, рентгенографическое обследование предоставляет информацию о состоянии реберных хрящей, что в свою очередь помогает точнее прогнозировать развитие заболевания. В современных клиниках применяются расширенные виды рентгеновских процедур, которые дают более детализированные изображения, что позволяет врачу оперативно принять решение о необходимости дальнейших диагностических процедур.

При отсутствии видимых симптомов важно помнить, что изменения в структуре грудной клетки могут не всегда проявляться очевидно. Именно поэтому регулярные профилактические обследования, включая рентген, играют ключевую роль в ранней диагностике заболевания. Если признаки заболевания наблюдаются в процессе исследования, необходимо пройти дополнительное обследование с целью исключения осложнений и уточнения диагноза.

Таким образом, рентгенография представляет собой важный этап в диагностике деформаций грудной клетки. Она помогает не только выявить проблему, но и оценить ее развитие, что критически важно для выбора оптимального курса лечения.

Роль компьютерной томографии в оценке степени воронкообразной деформации

Роль компьютерной томографии в оценке степени воронкообразной деформации

С помощью КТ можно получить информацию о степени искривления и отклонений в структуре хрящей и костных элементов грудной клетки. В отличие от рентгенографии, КТ позволяет более точно определить глубину воронкообразной деформации и её влияние на внутренние органы. Такое обследование включает в себя серию срезов, что даёт полное представление о состоянии грудной клетки и помогает оценить сложность возможных осложнений.

Кроме того, КТ позволяет специалистам определить, как заболевание влияет на симметрию грудной клетки. Эта информация может быть решающей при принятии решения о необходимости хирургической операции или других вмешательств. Важно, что КТ идеально подходит для пациентов, у которых имеются дополнительные заболевания, такие как остеопороз, что может усложнить лечение. Для таких пациентов компьютерная томография помогает выявить возможные риски и избежать ошибок в диагностике.

Клиники, ориентированные на комплексное лечение таких заболеваний, часто используют КТ как основной инструмент для диагностики воронкообразных пороков. На основе полученных данных, специалисты могут точно определить стадию заболевания и рекомендовать соответствующие профилактические и лечебные меры. Это обследование значительно сокращает время, необходимое для диагностики, и позволяет врачу сосредоточиться на наилучшем способе лечения пациента.

Кроме того, компьютерная томография играет важную роль в мониторинге пациентов, которые уже прошли лечение или операцию. После вмешательства важно регулярно проверять изменения в состоянии грудной клетки, и КТ помогает отслеживать успешность проведённой терапии. Таким образом, этот метод является не только инструментом диагностики, но и ключевым элементом в контроле за процессом восстановления пациента.

Использование магнитно-резонансной томографии в диагностике воронкообразной деформации

Использование магнитно-резонансной томографии в диагностике воронкообразной деформации

Особенность МРТ заключается в том, что оно не использует ионизирующее излучение, что делает этот метод более безопасным для пациентов, особенно при необходимости частых обследований. МРТ позволяет детально увидеть не только хрящи и костные структуры, но и мягкие ткани, что важно для диагностики более сложных случаев, когда есть подозрения на вовлечение других органов грудной клетки.

Советуем прочитать:  Госпошлина за заявление о признании должника банкротом в 2026 году

МРТ включает в себя серию срезов, которые дают многослойное изображение, позволяя специалисту точно определить степень искривления, локализацию и глубину воронкообразных пороков. Этот метод особенно эффективен для оценки состояния пациентов с комплексными деформациями, когда нужно учитывать влияние заболевания на различные структуры грудной клетки и сопредельные органы.

В сравнении с традиционными рентгеновскими исследованиями, МРТ помогает более точно классифицировать степень изменений и дает возможность избежать ошибок, связанных с интерпретацией на рентгеновских снимках. Благодаря высокой детализации, МРТ часто используется для планирования лечения и определения показаний к операции, а также для последующего контроля после хирургического вмешательства.

На последних стадиях заболевания, когда искривление становится более выраженным, использование МРТ становится обязательным для правильной диагностики. Этот метод особенно ценен при оценке изменений, которые не видны на других изображениях, а также помогает выявить дополнительные проблемы, такие как возможные нарушения в работе сердца или легких, которые могут возникать из-за смещения органов грудной клетки.

Таким образом, магнитно-резонансная томография играет ключевую роль в комплексной диагностике заболеваний грудной клетки. Она помогает не только определить степень воронкообразных изменений, но и более точно оценить возможные риски и осложнения, что в свою очередь способствует оптимизации терапевтических мероприятий и повышению качества жизни пациентов.

Обзор ультразвуковых методов в оценке изменений грудной клетки при воронкообразной деформации

Обзор ультразвуковых методов в оценке изменений грудной клетки при воронкообразной деформации

Ультразвуковое исследование (УЗИ) представляет собой один из доступных и безопасных методов для оценки состояния грудной клетки при воронкообразной деформации. Это обследование позволяет специалистам получить важную информацию о положении реберных позвонков, хрящей и симметрии грудной клетки, что особенно полезно на ранних стадиях заболевания. На практике я часто вижу, что ультразвук используется как дополнение к лучевым методам для детальной диагностики и мониторинга.

Примечательной особенностью УЗИ является его способность выявлять мягкотканевые изменения, которые могут быть не видны при рентгенографии или МРТ. Например, ультразвук помогает оценить толщину хрящей и их взаимодействие с другими структурами грудной клетки, что особенно важно при оценке воронкообразных изменений. Это даёт врачам возможность своевременно распознать прогрессирование заболевания и принять меры по лечению или профилактике осложнений.

Ультразвуковое исследование, наряду с другими диагностическими процедурами, помогает точно определить степень отклонения ребер и хрящей. Это особенно важно для классификации деформации и принятия решения о необходимости хирургического вмешательства. Исследование также используется для определения изменений, которые происходят в мягких тканях, что может указывать на развитие осложнений, таких как воспаление или деформация реберных хрящей.

Одним из преимуществ УЗИ является его безопасность и отсутствие ионизирующего излучения, что делает его подходящим для регулярного мониторинга состояния пациента. Кроме того, ультразвук используется для оценки состояния пациента после оперативного вмешательства, позволяя врачу следить за процессом восстановления и исключать возможные рецидивы деформации.

В клиниках, ориентированных на комплексную диагностику и лечение подобных заболеваний, ультразвук часто является частью стандартного обследования. Это метод, который применяется для первичной диагностики и в дальнейшем используется для динамического наблюдения за пациентами. На последних стадиях заболевания, когда изменения становятся более выраженными, УЗИ помогает врачам корректировать тактику лечения, основываясь на точных данных о состоянии пациента.

Таким образом, ультразвуковые исследования играют важную роль в комплексной диагностике воронкообразных изменений грудной клетки. Несмотря на свою ограниченность в визуализации костных структур, УЗИ обеспечивает важную информацию о мягкотканевых и хрящевых изменениях, что существенно помогает в оценке степени заболевания и выборе наилучшей тактики лечения.

Показания и противопоказания для использования лучевых методов в диагностике деформации грудной клетки

Использование лучевых методов для диагностики деформации грудной клетки, включая рентгенографию и компьютерную томографию, имеет свои показания и противопоказания, которые следует учитывать для обеспечения точности результатов и безопасности пациента.

Основные показания для применения лучевых исследований включают:

  • Необходимость точной оценки степени деформации грудной клетки и реберных позвонков, особенно при наличии выраженных отклонений от нормальной симметрии.
  • Подозрения на изменения хрящей, искривления позвонков или другие анатомические нарушения, требующие уточнения с помощью радиологического обследования.
  • Наблюдение за динамикой заболевания, в том числе в послеоперационный период, для оценки восстановления после хирургического вмешательства.
  • Оценка осложнений, связанных с заболеванием, например, воздействия на внутренние органы, что может повлиять на выбор терапии.
  • Необходимость классификации степени деформации для планирования лечения, в том числе для выбора показаний к операциям.

Однако лучевые методы имеют и противопоказания, которые необходимо учитывать перед их применением:

  • Высокая чувствительность к радиационному воздействию, что ограничивает применение этих методов у детей, особенно на ранних стадиях заболевания.
  • Противопоказания при наличии сильных аллергических реакций на контрастные вещества, используемые в рентгенографии или КТ.
  • Необходимость избегать радиационных процедур при наличии заболеваний, при которых повторное облучение может усугубить состояние пациента, например, при наличии активно протекающих инфекций.
  • Запрещено применение некоторых методов при беременности, поскольку радиация может отрицательно повлиять на развитие плода.
Советуем прочитать:  С какого возраста можно служить в российской армии по контракту? Условия и требования

С учетом этих факторов важно при назначении лучевых исследований обращаться к специалисту и получать консультацию по выбору наиболее безопасного и информативного метода. В медцентрах, ориентированных на решение сложных диагностических задач, используются не только стандартные радиологические методы, но и их расширенные варианты, которые позволяют более точно оценить изменения в клетках грудной клетки и степень деформации. Это помогает выявить патологии на более ранних стадиях и своевременно принять меры для их коррекции.

Внимание к возможным противопоказаниям и чёткая диагностика с использованием современных технологий — залог успешного лечения и минимизации рисков для здоровья пациента. Помните, что грамотная оценка состояния, основанная на передовых методах диагностики, имеет решающее значение для выбора оптимальной терапии и предотвращения осложнений заболевания.

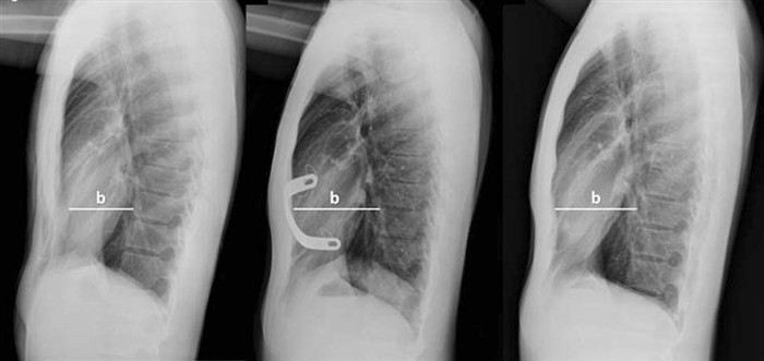
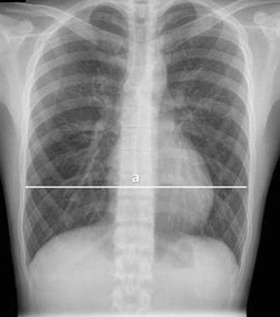
Методика измерения глубины воронкообразной деформации с помощью рентгеновских снимков

Методика измерения глубины воронкообразной деформации с помощью рентгеновских снимков

Для точной оценки глубины воронкообразной деформации грудной клетки широко применяется рентгенографическое обследование, которое позволяет визуализировать степень отклонения от нормальной симметрии грудной клетки. Этот метод не только предоставляет необходимую информацию о форме и величине деформации, но и помогает выявить возможные осложнения, такие как нарушения в строении реберных позвонков или хрящей.

Процедура начинается с получения стандартного рентгеновского снимка, на котором четко видны изменения в костных и мягких тканях грудной клетки. Для измерения глубины деформации специалисты используют определенные ориентиры, например, расстояние между передней поверхностью грудной клетки и внутренними органами, а также угол искривления ребер. Это позволяет точно установить степень отклонения и классифицировать его по шкале, принятой в медицинской практике.

Основные шаги для измерения глубины деформации с помощью рентгеновских снимков включают:

  • Получение снимков в нескольких проекциях: для точности измерений часто требуется получить рентгеновские снимки в двух проекциях — боковой и прямой. Это позволяет лучше оценить трехмерное изменение формы грудной клетки.
  • Определение глубины воронкообразной деформации: на основе снимков измеряется расстояние между позвоночником и центральной точкой грудной клетки в зоне максимальной воронковидной деформации. Также учитываются данные о наличии отклонений в реберных хрящах.
  • Оценка симметрии грудной клетки: на снимках специалист обращает внимание на степень асимметрии, так как это может существенно влиять на выбор метода лечения или операции.
  • Использование дополнительных методов для уточнения диагноза: в некоторых случаях, наряду с рентгенографией, может потребоваться компьютерная томография для получения более детализированных изображений и точных измерений.

На практике, часто наблюдаются ситуации, когда результаты рентгенографического обследования требуют дополнительной консультации специалистов для интерпретации данных и планирования дальнейшего лечения. Особенно это важно, если деформация грудной клетки сопровождается нарушениями в развитии хрящей или реберных позвонков.

Рентгеновские снимки являются важным инструментом для диагностики, однако они не могут быть использованы для диагностики воронкообразной деформации в полной мере без учета других клинических симптомов и признаков заболевания. Также стоит помнить, что радиологическое обследование требует внимательного подхода, особенно в случае с детьми, из-за чувствительности организма к лучевой нагрузке.

Итак, рентгенографическое обследование представляет собой важный этап в диагностике деформаций грудной клетки, позволяя получить точные данные о глубине деформации и степенях изменений, которые могут потребовать хирургического вмешательства или другого вида терапии. Важно не только получить снимок, но и грамотно интерпретировать его для выбора наилучшего курса лечения пациента.

Сравнение лучевых методов с клиническими подходами при диагностике деформации грудной клетки

Рентгенографическое и радиологическое обследование играет важную роль в диагностике изменений в грудной клетке. Тем не менее, оно не всегда может заменить полноценное клиническое обследование, которое включает в себя физический осмотр пациента, оценку симптомов и историю заболевания. Совмещение этих подходов позволяет достичь наиболее точных результатов, особенно в случае сложных деформаций, таких как воронкообразная деформация грудной клетки.

Лучевые методы диагностики, в частности рентгенография, предоставляют визуальные данные, которые помогают специалистам увидеть искривления ребер и изменения в структуре хрящей. Они позволяют измерить степень отклонения и оценить симметрию грудной клетки, что важно для определения степени заболевания. Однако рентгеновские снимки дают лишь информацию о внешних признаках, не учитывая функциональные изменения, такие как возможные нарушения дыхательной функции или сосудистые патологии, что может быть выявлено только клинически.

С другой стороны, клинический осмотр включает в себя оценку состояния пациента через пальпацию, аускультацию и другие осмотры, что позволяет выявить не только признаки внешних деформаций, но и функциональные расстройства. Например, симптомы, такие как одышка или частые воспаления дыхательных путей, могут указывать на более сложные патологии, которые не всегда очевидны на снимках. Таким образом, клиническая диагностика и лучевые исследования дополняют друг друга.

Советуем прочитать:  Как подать жалобу на незаконную перепланировку: Пошаговое руководство

Еще одним важным аспектом является классификация степени деформации, которая может быть достигнута с помощью интеграции данных лучевых методов и клинических показателей. В некоторых случаях симптомы заболевания не соответствуют результатам изображений. Например, пациент с минимальной деформацией грудной клетки может испытывать серьезные проблемы с дыханием или физической активностью, что проверьте при назначении лечения.

В ряде случаев лучшее решение заключается в комбинированном подходе. На моей практике я часто встречаю пациентов, у которых рентгенография показывала минимальные изменения, однако при более детальной оценке и проведении функциональных тестов выявлялись более серьезные проблемы. Например, если искривление ребер в определенных случаях вызвало изменение положения внутренних органов, это может потребовать не только хирургического вмешательства, но и реабилитационной терапии, направленной на улучшение функции легких и сердца.

Стоит отметить, что современные радиологические технологии, такие как компьютерная томография, позволяют получить более точные данные о состоянии грудной клетки, однако из-за их стоимости и воздействия на организм их используют не всегда. В некоторых случаях, например, на начальных стадиях заболевания, клиническое обследование и стандартная рентгенография могут быть вполне достаточны для диагностики и определения плана лечения.

Подводя итог, можно сказать, что комбинация лучевых методов с клиническим подходом является наиболее эффективным способом диагностики деформаций грудной клетки. Такой комплексный подход помогает не только точно определить степень заболевания, но и выбрать оптимальную тактику лечения, которая может включать как терапию, так и хирургическое вмешательство в зависимости от клинической ситуации.

Роль дифференциальной диагностики в выборе метода лучевого обследования

При выборе подходящего лучевого исследования для оценки состояния грудной клетки сверьте разнообразие признаков, которые могут быть связаны с деформациями ребер и хрящей. Дифференциальная диагностика помогает врачам точно определить, какое обследование наилучшим образом подойдет для каждого конкретного случая. Эта задача особенно актуальна, когда симптомы заболевания могут быть схожи, но клиническая картина требует внимательного подхода для исключения других заболеваний, таких как пороки развития или травмы.

На практике радиологическое обследование позволяет детально рассмотреть изменения в симметрии клеток, оценить степень искривления ребер и исследовать хрящи. Однако важно помнить, что рентгенография или компьютерная томография дают лишь часть картины. Применение этих методов зависит от того, насколько выражены симптомы, а также от стадии заболевания. Например, при ранних стадиях болезни могут использоваться стандартные рентгеновские снимки, которые достаточно информативны, чтобы выявить наличие изменений в реберных структурах. В более сложных случаях, например, при значительных нарушениях в развитии грудной клетки, может потребоваться более точная диагностика, включающая расширенные методики обследования.

Кроме того, для правильного выбора обследования врач должен учитывать возраст пациента, его историю заболевания и другие симптомы. В некоторых случаях стандартное радиологическое обследование не может дать полного представления о состоянии хрящей, и тогда применяют методы, такие как магнитно-резонансная томография, которая дает более точное изображение мягких тканей. Такой подход необходим, когда существует сомнение в том, что искривления ребер являются единственными признаками заболевания, и требуется исключить другие патологии, например, заболевания позвоночника или пороки развития грудной клетки.

Для врачей важно иметь в арсенале набор методов, позволяющих эффективно и точно поставить диагноз. На моей практике я часто сталкиваюсь с ситуациями, когда стандартные методы обследования не могут полностью оценить картину. В таких случаях выбор метода зависит от клинической ситуации, степени развития заболевания и наличия сопутствующих заболеваний. Преимущества дифференциальной диагностики заключаются в том, что она позволяет исключить ошибочные диагнозы, на основании которых может быть назначено ненужное или даже опасное лечение.

Кроме того, важно отметить, что дифференциальная диагностика помогает врачам выбрать наиболее безопасные и эффективные методы лечения. Например, если результат лучевого обследования подтверждает наличие воронкообразной деформации, но клинические признаки указывают на минимальные изменения, может быть рекомендована терапия, направленная на укрепление дыхательной системы и профилактику осложнений. В то время как в случае более сложных изменений, требующих хирургического вмешательства, выбор метода и времени операции будет зависеть от всей совокупности данных, включая результаты лучевых обследований и клиническую картину.

Таким образом, роль дифференциальной диагностики в выборе метода лучевого обследования не ограничивается только выбором метода, но и напрямую влияет на точность диагноза и эффективность лечения. Важно проводить тщательное обследование, учитывая все факторы, включая степень заболевания и возможные осложнения, чтобы выбрать наилучший план лечения для каждого пациента.

Понравилась статья? Поделиться с друзьями:
Adblock
detector